Top.Mail.Ru
Оставьте ваши данные и мы с Вами свяжемся!
Блог

Междисциплинарный подход к техникам контурной пластики: оценка отдаленных результатов, безопасности и эффективности методик с помощью серийных динамических МСКТ в течение 12 месяцев.

Статьи
Авторы:

Кизуб Светлана Александровна - Врач-дерматокосметолог, междисциплинарный тренер по ботулинотерапии, медицинский советник и сертифицированный тренер компании «ЭстетМедицина». Основатель международной школы для косметологов «Академия Кизуб» и «Online Академии Кизуб». Спикер и участник международных конгрессов.
Кизуб Виктория Александровна - Врач-рентгенолог высшей категории, исполняющая обязанности заведующего отделения лучевой диагностики в клиническом медицинском центре имени Н.А. Семашко ФГБОУ ВО «Российский университет медицины» минздрава России. Врач-дерматолог, косметолог клиники доктора Кизуб. Медицинский советник «Академии Кизуб», сертифицированный тренер компании «ЭстетМедицина».

Аннотация

В данной статье мы поделимся результатами full face коррекции пациента, которому с помощью наиболее часто используемых техник контурной пластики, ввели 6 мл филлера на основе гиалуроновой кислоты. При этом пациенту до коррекции, сразу после, через 3 недели, 5, 9 и 12 месяцев были проведены МСКТ челюстно-лицевой области в клиническом медицинском центре имени Н.А. Семашко ФГБОУ ВО «Российский университет медицины» МЗ РФ, с целью анализа техник контурной пластики. Анализ равномерности распределения препаратов сшитой гиалуроновой кислоты и возможных нежелательных явлений в раннесрочном периоде мы описали в предыдущей статье (Метаморфозы № 51, сентябрь 2025). Мы решили исследовать динамику изменений объемов препаратов с помощью динамического МСКТ на протяжении 12 месяцев. Ниже мы поделимся результатами наблюдений через 5, 9 и 12 месяцев, а также проанализируем сроки биодеградации препарата, отследим возможную их миграцию и отсроченные нежелательные явления.

Введение

Контурная пластика лица является распространённой и востребованной инъекционной процедурой в практике врача косметолога. Грамотный выбор препарата с учётом проблемы, зоны коррекции и запроса пациента ложится на плечи врача. Однако, в реальности врач-косметолог должен мыслить шире и обладать большими знаниям о препарате в том числе о его реологических свойствах и сроках биодеградации.

Производители филлеров на основе гиалуроновой кислоты всегда ориентируют врача на предполагаемые сроки биодеградации. Но на практике мы часто сталкиваемся с тем, что эти сроки не соответствуют действительности и, как правило, препараты находятся в мягких тканях пациентов значительно дольше.

В последние годы отмечается тенденция всё более частого использования врачами косметологами различных методов визуализации, введённых препаратов. Наиболее доступным и распространенным методом остается ультразвуковая диагностика (УЗИ). Реже, в виду специфики и стоимости оборудования, для этих целей используются МРТ и КТ. Не смотря на меньшую доступность этих методов диагностики они являются более информативными и показательными.

Мультиспиральная компьютерная томография (МСКТ) - эффективный и надежный метод визуализации, позволяющим анализировать не только биодеградацию филлеров, но и прицельность их введения, что повышает точность и качество инъекционных процедур, особенно в анатомически опасных зонах.

В предыдущей статье мы подробно рассказали о ранней диагностике распределения препаратов контурной пластики – МСКТ проводились до, сразу после процедуры и через 3 недели. В данной статье мы поделимся нашими наблюдениями за тем же пациентом после проведения рентгенологических исследований через 5, 9 и 12 месяцев.

Материалы и методы

Пациент: женщина, 34 года. Усталый морфотип возрастных изменений по И.И. Кольгуненко.
Жалобы: нарушение овала лица, выраженные носогубные складки, губно-краевые борозды.
Пациенту (рис. 1) ранее проводились процедуры контурной пластики.

Рис. 1. Пациентка А., 34 года.
Результат коррекции препаратом Dermallure Shape 3: до (А, В) и сразу после (Б, Г) процедуры
Для комплексной коррекции использовался препарат Dermallure Shape 3 (рис. 2) - самый плотный филлер из линии филлеров Dermallure™, в составе которого сшитая гиалуроновая кислота 20 мг/мл и лидокаин 3 мг/мл. Наличие в составе препарата лидокаина делает процедуру комфортной и безболезненной для пациента. Dermallure Shape 3 – идеальный препарат для контурной пластики лица, требующей формирования четких линий и безупречных форм. Он деликатно восполняет объёмы в сложных анатомических зонах, таких как скулы, виски, подбородок. Филлер Dermallure Shape 3 имеет следующие реологические характеристики:
Рис. 2. Препарат Dermallure Shape 3
Таблица характеристик препарата Dermallure Shape 3

Протокол коррекции

Висок: 0,8 мл с каждой стороны (канюля 22G*50 mm).
Скуловая + подглазничная области: 0,8 мл с каждой стороны (игла 27G*13 mm).
Подбородок 0,6 мл (игла 27G*13 mm), по 0,4 мл с каждой стороны (канюля 22G*50 mm).
Губно-краевая борозда: 0,6 мл с каждой стороны (канюля 22G*50 mm).
Суммарный объём введенного препарата: 6 мл.
Динамические МСКТ проводились на аппарате: SIEMENS SOMATOM Definition AS 64

Технические характеристики:
• Высококонтрастное разрешение 0,17 мм
• Скорость вращения 0,33 секунды за один оборот
• Алгоритм итеративной реконструкции для повышения качества изображения и снижения лучевой нагрузки

Точками контроля были выбраны: до процедуры, сразу после введения, через 3 недели (см. Метаморфозы № 51, сентябрь 2025), 5, 9 и 12 месяцев (см. ниже).
Вся рентгенологическая диагностика проводилась на базе клинического медицинского центра имени Н.А. Семашко ФГБОУ ВО «Российский университет медицины» МЗ РФ.

Результаты

Височная область: коррекция проводилась с помощью канюли 22G*50 mm из скуловой точки доступа (рис. 3). Данная техника подразумевает введение препарата в межфасциальное пространство с целью восполнения утраченного объёма и улучшения овала лица. Объем введенного препарата Dermallure Shape 3 составил 0,8 мл с каждой стороны. Ранее данная зона у пациента не была инъецирована.
Рис. 3. Канюльная техника коррекции височной зоны. Точка доступа – верхняя граница скуловой дуги
Данные МСКТ (рис. 4): на аксиальном срезе височной области в межфасциальном пространстве височной области при динамическом исследовании через 12 месяцев после введения имплантата на основе гиалуроновой кислоты определяется уменьшение его толщины с 5,4 мм до 4,27 справа и с 5,3 мм до 3,96 мм слева. Данных за наличие инфильтративных изменений, признаков миграции и инкапсулирования препарата не выявлено.
Рис. 4. МСКТ сканы височной области, аксиальная проекция.
А – через 5 месяцев, толщина имплантата слева 5.19 мм, справа 5.30 мм
В – через 9 месяцев, толщина имплантата слева 4,75 мм, справа 4,9 мм
С – через 12 месяцев, толщина имплантата слева 3,96 мм, справа 4,27 мм
Скуловая область: коррекция (рис. 5) проводилась с помощью иглы 27G*13 mm, препарат инъецировался согласно разметке по Ландау супрапериостально, болюсной техникой (объемы болюсов от 0,1 до 0,3 мл) с использованием аспирационной пробы на каждом проколе. Объем введенного препарата Dermallure Shape 3 составил 0,8 мл с каждой стороны.
Рис. 5. Контурная пластика скуловой области
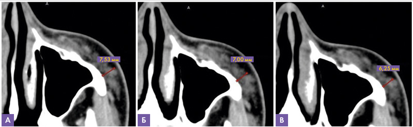
Данные МСКТ (рис.6): на аксиальном срезе скуловой области слева при динамическом исследовании через 12 месяцев после введения имплантата на основе гиалуроновой кислоты отмечается уменьшение толщины слоя от кости до уровня SMAS с 7,9 мм до 6,25 мм (толщина вышеописанного слоя до инъецирования составляла 4,7 мм). Данных за наличие инфильтративных изменений, признаков миграции и инкапсулирования препарата не выявлено.
Рис. 6. МСКТ сканы левой скуловой области, аксиальная проекция
А – через 5 месяцев, толщина имплантата 7.53 мм
В – через 9 месяцев, толщина имплантата 7.00 мм
С – через 12 месяцев, толщина имплантата 6,25 мм
Подбородочная область: коррекция проводилась с использованием 2-х техник.

По центральной линии препарат Dermallure Shape 3 вводился с помощью иглы 27G*13 mm в 3 прокола с использованием аспирационной пробы супрапериостально, болюсной техникой (рис. 7). Данная техника подразумевает заполнение жирового тела подбородка и используется с целью увеличения высоты нижней трети лица. Объем введенного препарата составил 0,6 мл (один болюс по центру 0,3 мл и 2 болюса латеральнее на 3 мм справа и слева от центральной точки инъецирования по 0,15 мл).
Рис. 7. Контурная пластика центральной части подбородочной области
По периферии препарат Dermallure Shape 3 вводился с помощью канюли 22G*50 mm, точка доступа располагалась на крае нижней челюсти по медиальной границе нижнечелюстного жирового компартмента (рис. 8). Объем введенного препарата: 0,4 мл. Техника введения: линейно-ретроградная.
Рис.8. Канюльная техника коррекции латеральной части подбородочной области
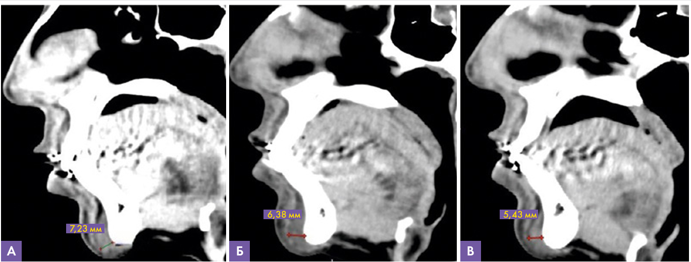
Данные МСКТ: на сагиттальных срезах подбородочной области (рис. 9) определяется имплантат, интимно прилежащий к подбородочному отделу нижней челюсти сзади и к подбородочной мышце спереди, в виде включений плотностью аналогичной плотности мышечной ткани. Толщина слоя жирового тела подбородка от костной структуры до подбородочной мышцы изначально составляла 4,8 мм, через 3 недели после инъецирования имплантата на основе гиалуроновой кислоты – 7,4 мм. При динамическом исследовании через 12 месяцев коррекции толщина вышеописанного слоя составляет 5,43 мм. Данных за наличие инфильтративных изменений, признаков миграции и инкапсулирования препарата не выявлено.
Рисунок 9. МСКТ сканы подбородочной области, сагиттальная проекция
А – через 5 месяцев, толщина имплантата 7,23 мм
В – через 9месяцев, толщина имплантата 6,38 мм
С – через 12 месяцев, толщина имплантата 5,43 мм
На аксиальных срезах подбородочной области (рис.10) в мягких тканях губно-краевой области справа и слева визуализируется наличие имплантата на основе гиалуроновой кислоты, интимно прилежащего к мышце, опускающей нижнюю губу (толщина которой 2 мм по данным МСКТ исследования до инъецирования). При динамическом исследования через 12 месяцев отмечается уменьшение толщины слоя, включающего мышцу и филлер, с 6,2 мм до 4,42 мм. Так же следует отметить постепенное формирование негомогенной структуры препарата за счет участков пониженной плотности. Данных за наличие инфильтративных изменений, признаков миграции и инкапсулирования препарата не выявлено.
Рисунок 10. МСКТ сканы подбородочной области слева, аксиальная проекция
А – через 5 месяцев, толщина имплантата 6,18 мм
В – через 9месяцев, толщина имплантата 5,38 мм
С – через 12 месяцев, толщина имплантата 4,42 мм

Обсуждение

При динамическом КТ исследовании челюстно-лицевой области в течение 12 месяцев после инъецирования препарата Dermallure Shape 3 в каждой зоне имплантат прилегает к целевым анатомическим структурам. Миграции препарата в окружающие мягкие ткани, реактивных изменений окружающих структур и признаков инкапсулирования не выявлено. В динамике определяется уменьшение объемов препарата во всех проинъецированных зонах. В височной области – 21 и 25%, в скуловой области – 52 %, губно-краевые борозды – 42 %, в подбородочной области – 76%. Важно отметить, что в области максимальной биодеградации (подбородочной области) изначально определялся проинъецированный в 2022 году препарат, что не дает возможности утверждать о биодеградации именно Dermallure Shape 3. Появление негомогенной структуры филлера в губно-краевой области, вероятно, является признаком биодеградации препарата и локализации его в поверхностной жировой клетчатке. Наше исследование демонстрирует безопасность примененных техник на протяжении 12 месяцев.

Заключение

МСКТ мониторинг является операторнезависимым методом диагностики в инъекционной косметологии, позволяющий верифицировать техники введения, анализировать сроки биодеградации и определять нежелательные явления после контурной пластики филлерами на основе гиалуроновой кислоты. Данным исследованием мы подтвердили предсказуемое физиологичное распределение препарата Dermallure Shape 3, стабильность коррекции на протяжении 12 месяцев, отсутствие возникновения ранних, среднесрочных и отсроченных операционных осложнений и формирования фиброзных капсул после его инъецирования. Помимо этого, исследование наглядно продемонстрировало данные, которые соответствуют заявленным производителем срокам равномерной биодеградации препарата Dermallure Shape 3.
Источник: [1] Кизуб С.А., Кизуб В.А. Междисциплинарный подход к техникам контурной пластики: доказательства безопасности и эффективности методик с помощью динамических МСКТ // Метаморфозы. – 2025. – № 51. – С. 36–40.