Top.Mail.Ru
Оставьте ваши данные и мы с Вами свяжемся!
Блог

Междисциплинарный подход к техникам контурной пластики: доказательства безопасности и эффективности методик с помощью динамических МСКТ.

Статьи
Авторы:

Кизуб Светлана Александровна - Врач-дерматокосметолог, междисциплинарный тренер по ботулинотерапии, медицинский советник и сертифицированный тренер компании «ЭстетМедицина». Основатель международной школы для косметологов «Академия Кизуб» и «Online Академии Кизуб». Спикер и участник международных конгрессов.
Кизуб Виктория Александровна - Врач-рентгенолог высшей категории, исполняющая обязанности заведующего отделения лучевой диагностики в клиническом медицинском центре имени Н.А. Семашко ФГБОУ ВО «Российский университет медицины» минздрава России. Врач-дерматолог, косметолог клиники доктора Кизуб. Медицинский советник «Академии Кизуб», сертифицированный тренер компании «ЭстетМедицина».

Аннотация

Контурная пластика лиц в практике врача косметолога, несмотря на минимальную инвазивность, сопровождается рисками сосудистых осложнений и отсроченных нежелательных явлений. Отсутствие стандартизированных методов визуализации распределения филлеров ограничивает возможности объективной оценки безопасности применяемых техник. В данной статье мы поделимся результатами full face коррекции пациента, которому до коррекции, сразу после и через 3 недели были проведены МСКТ челюстно-лицевой области в клиническом медицинском центре имени Н.А. Семашко ФГБОУ ВО «Российский университет медицины» МЗ РФ, с целью анализа техник контурной пластики. Так же данное исследование поможет оценить равномерность распределения препаратов сшитой гиалуроновой кислоты, отследить возможную их миграцию и превентировать ранние операционные осложнения. Для коррекции пациента мы выбрали наиболее часто используемые техники контурной пластики.

Введение

Современная инъекционная косметология сталкивается с парадоксальной ситуацией: при ежегодном росте количества процедур контурной пластики в мире (по данным ISAPS за 2024 год их количество увеличилось на 5,2% до 6,3 миллиона по сравнению с предыдущим годом, табл. 1) сохраняется дефицит доказательных методов оценки безопасности применяемых техник. Особую актуальность этот вопрос приобретает при full face коррекции, где объем вводимого препарата превышает 4-5 мл за одну процедуру.
Табл. 1. Данные отчета International Society of Aesthetic Plastic Surgery за 2024 год.

Материалы и методы

Пациент: женщина, 34 года. Усталый морфотип возрастных изменений по И.И. Кольгуненко.

Жалобы: нарушение овала лица, выраженные носогубные складки, губно-краевые борозды.

Пациенту ранее проводились процедуры контурной пластики.

Для коррекции (рис. 1) использовался препарат Dermallure Shape 3 - самый плотный филлер из линии филлеров Dermallure™, в составе которого сшитая гиалуроновая кислота 20 мг/мл и лидокаин 3 мг/мл. Наличие в составе препарата лидокаина делает процедуру комфортной и безболезненной для пациента. Dermallure Shape 3 – идеальный препарат для контурной пластики лица, требующей формирования четких линий и безупречных форм. Он деликатно восполняет объёмы в сложных анатомических зонах, таких как скулы, виски, подбородок. Филлер Dermallure Shape 3 имеет следующие реологические характеристики:

- модуль упругости G’: 874,7

- модуль пластичности G”: 207,9

- комплексный модуль G*: 899,0

- tanδ: 0,24

- размер частиц: 700–1100 µm

Именно благодаря своим реологических свойствам филлер Dermallure Shape 3 мягко и аккуратно занимает необходимый объем в тканях, гарантируя безупречный, естественный, пролонгированный результат.

Рис.1Результат коррекции препаратов Dermallure Shape 3 (слева ДО, справа – сразу после).

Протокол коррекции

Висок: 0,8 мл с каждой стороны (канюля 22G*50 mm).
Скуловая + подглазничная области: 0,8 мл с каждой стороны (игла 27G*13 mm).
Подбородок 0,6 мл (игла 27G*13 mm), по 0,4 мл с каждой стороны (канюля 22G*50 mm).
Губно-краевая борозда: 0,6 мл с каждой стороны (канюля 22G*50 mm).
Суммарный объём введенного препарата: 6 мл.

Контроль качества проделанной процедуры

Динамические МСКТ проводились на аппарате: SIEMENS SOMATOM Definition AS 64
Технические характеристики:
• Высококонтрастное разрешение 0,17 мм
• Скорость вращения 0,33 секунды за один оборот
• Алгоритм итеративной реконструкции для повышения качества изображения и снижения лучевой нагрузки
Точками контроля были выбраны: до процедуры, сразу после введения и через 3 недели.
Вся рентгенологическая диагностика проводилась на базе клинического медицинского центра имени Н.А. Семашко ФГБОУ ВО «Российский университет медицины» МЗ РФ.

Результаты

Височная область: коррекция проводилась с помощью канюли 22G*50 mm из скуловой точки доступа (рис. 2). Данная техника подразумевает введение препарата в межфасциальное пространство с целью восполнения утраченного объёма и улучшения овала лица. Объем введенного препарата Dermallure Shape 3 составил 0,8 мл с каждой стороны. Ранее данная зона у пациента не была инъецирована.

Рис.2 Канюльная техника коррекции височной зоны. Точка доступа - верхняя граница скуловой дуги.

Данные МСКТ (рис. 3): на аксиальном срезе височной области в межфасциальном пространстве височной области имплантат определяется при исследовании сразу после инъецирования и через 21 день в виде включений толщиной 4–5 мм плотностью аналогичной мышечной ткани. В динамике через 21 день филлер приобретает более чёткие контуры и гомогенную структуру, а также определяется нивелирование посттравматических изменений.

Рис.3 МСКТ сканы височной области, аксиальная проекция.

А – до инъецирования

В – сразу после инъецирования, толщина имплантата слева 5,4 мм, справа 5,5 мм

С – через 3 недели, толщина имплантата слева 5,3 мм, справа 5,4 мм

Скуловая область: коррекция проводилась с помощью иглы 27G*13 mm, препарат инъецировался согласно разметке по Ландау супрапериостально, болюсной техникой (объемы болюсов от 0,1 до 0,3 мл) с использованием аспирационной пробы на каждом проколе (рис. 4). Объем введенного препарата Dermallure Shape 3 составил 0,8 мл с каждой стороны.
Рис.4 Контурная пластика скуловой области.
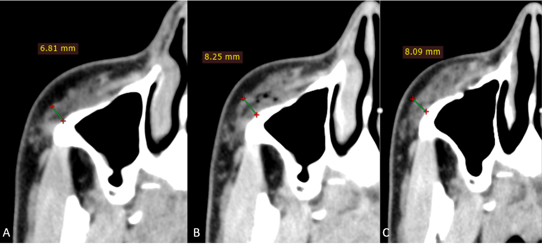
Данные МСКТ (рис.5,6): на аксиальном срезе скуловой области до инъецирования определяется ранее введенный имплантат в виде болюсов плотностью, аналогичной плотности мышечной ткани, толщиной справа 6,8 мм, слева 4,7 мм, прилегающих к передним стенкам верхнечелюстных пазух. В динамике после введения и через 21 день визуализируется увеличение толщины болюсов до 8,1мм справа и 7,9мм слева, миграции препарата в окружающие мягкие ткани, реактивных изменений окружающих структур и признаков инкапсулирования к 21 дню не выявлено, также определяется появление более четких контуров, формирование гомогенной структуры и нивелирование инфильтративных изменений ПЖК посттравматического характера.
Рисунок 5
МСКТ сканы правой скуловой области, аксиальная проекция
А – до инъецирования, толщина имплантата 6,8 мм
В – сразу после инъецирования, толщина имплантата 8,3 мм
С – через 3 недели, толщина имплантата 8,1 мм
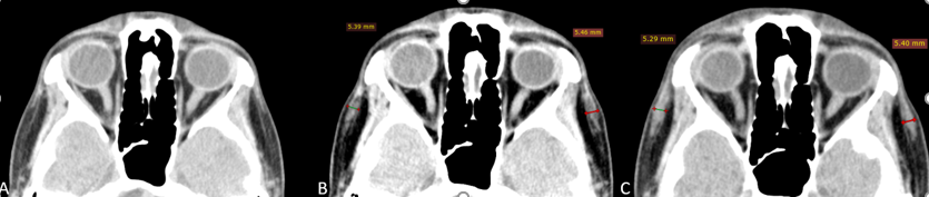
Рисунок 6
МСКТ сканы левой скуловой области, аксиальная проекция
А – до инъецирования, толщина имплантата 4,7 мм
В – сразу после инъецирования, толщина имплантата 8,0 мм
С – через 3 недели, толщина имплантата 7,9 мм
Подбородочная область: коррекция проводилась с использованием 2-х техник.
По центральной линии препарат Dermallure Shape 3 вводился с помощью иглы 27G*13 mm в 3 прокола с использованием аспирационной пробы супрапериостально, болюсной техникой (рис. 7). Данная техника подразумевает заполнение жирового тела подбородка и используется с целью увеличения высоты нижней трети лица. Объем введенного препарата составил 0,6 мл (один болюс по центру 0,3 мл и 2 болюса латеральнее на 3 мм справа и слева от центральной точки инъецирования по 0,15 мл).
Рис. 7. Контурная пластика центральной части подбородочной области.
По периферии препарат Dermallure Shape 3 вводился с помощью канюли 22G*50 mm, точка доступа располагалась на крае нижней челюсти по медиальной границе нижнечелюстного жирового компартмента (рис. 8). Объем введенного препарата: 0,4 мл. Техника введения: линейно-ретроградная.
Рис. 8. Канюльная техника коррекции латеральной части подбородочной области.
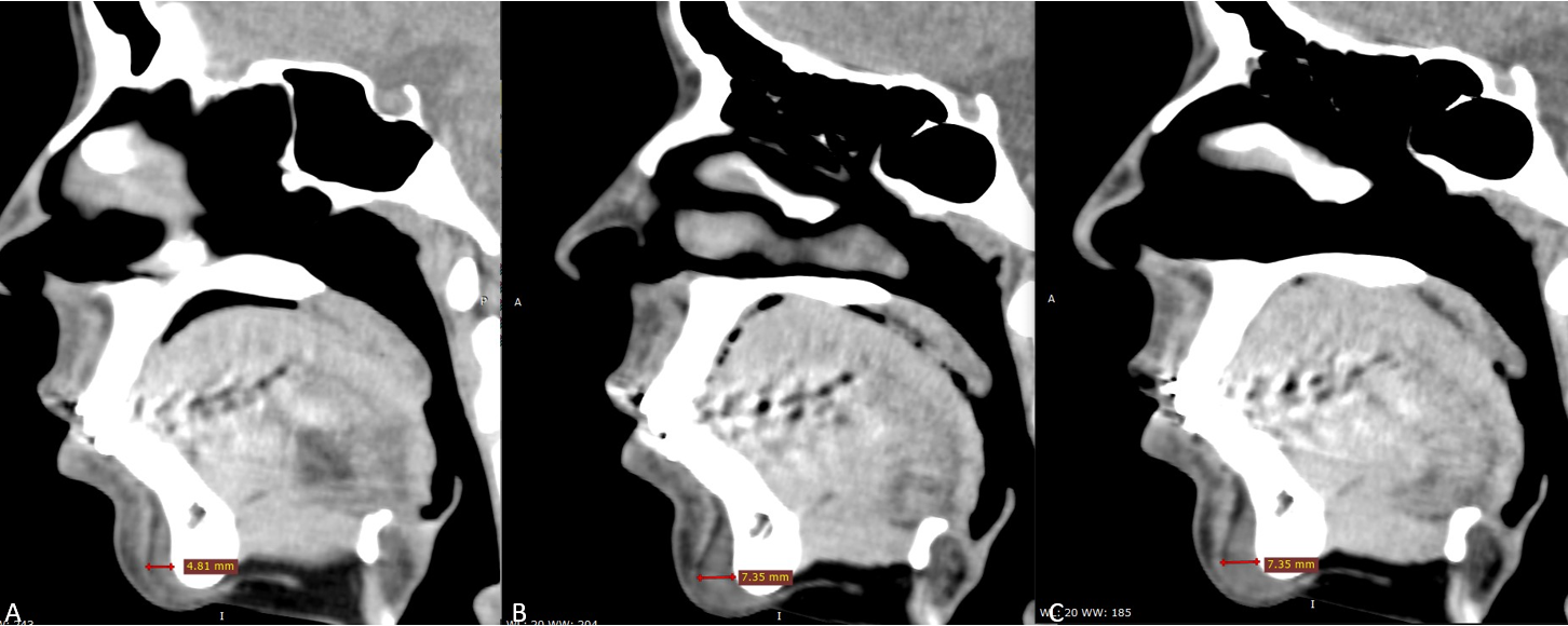
Данные МСКТ: на сагиттальных срезах подбородочной области (рис. 9) определяется имплантат, интимно прилежащий к подбородочному отделу нижней челюсти сзади и к подбородочной мышце спереди, в виде включений плотностью аналогичной плотности мышечной ткани. В динамике отмечается увеличение толщины филлера с 4,8 мм до 7,4 мм, миграции и признаков инкапсулирования препарата не выявлено.
Рис. 9
МСКТ сканы подбородочной области, сагиттальная проекция
А – до инъецирования, толщина имплантата 4,8 мм
В – сразу после инъецирования, толщина имплантата 7,4 мм
С – через 3 недели, толщина имплантата 7,4 мм
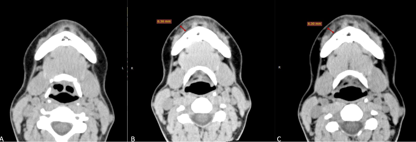
На аксиальных срезах подбородочной области (рис. 10) в мягких тканях губно-краевой области справа и слева визуализируется наличие филлера толщиной до 6.3мм, интимно прилежащим к мышце, опускающей нижнюю губу.
Рис.10
МСКТ сканы подбородочной области, аксиальная проекция
А – до инъецирования
В – сразу после инъецирования, толщина имплантата 6,4 мм
С – через 3 недели, толщина имплантата 6,3 мм
В динамике миграции препарата, реактивных изменений окружающих структур и признаков инкапсулирования не выявлено.

Отмечается появление более четких контуров, формирование гомогенной структуры, а также нивелирование инфильтративных изменений ПЖК посттравматического характера к 21 дню.

Обсуждение

При динамическом КТ исследовании челюстно-лицевой области в течение 3-х недель после инъецирования в каждой зоне имплантат прилегает к целевым анатомическим структурам. Миграции препарата в окружающие мягкие ткани, реактивных изменений окружающих структур и признаков инкапсулирования не выявлено. В динамике определяется появление более четких контуров, гомогенной структуры, а также нивелирование инфильтративных изменений ПЖК посттравматического характера.

Объём препарата Dermallure Shape 3 к 3-ей неделе остается прежним. Наше исследование демонстрирует безопасность примененных техник.

В наших планах наблюдать за пациентом на протяжении 12 месяцев для оценки отсроченных нежелательных явлений и сроков биодеградации препарата. Данные результатами мы поделимся в следующей статье.

Заключение

МСКТ мониторинг является ценным инструментом для верификации техник введения, ранней диагностики осложнений и изучения биодеградации филлеров. Данным исследованием мы подтвердили предсказуемое физиологичное распределение препарата Dermallure Shape 3, а также стабильные результаты коррекции, отсутствие возникновения ранних операционных осложнений и формирования фиброзных капсул после его инъецирования.
Источник: Научно-познавательный журнал о красоте, стиле и качестве жизни "Метаморфозы". Выпуск 51, 2025г.

Авторы: Кизуб С.А., врач-дерматолог, косметолог, междисциплинарный тренер по ботулинотерапии, медицинский советник компании «Эстет медицина», основатель школы для косметологов «Академия Кизуб», г. Москва.

Кизуб В.А., врач – рентгенолог второй категории отделения лучевой диагностики в клиническом медицинском центре имени Н.А. Семашко ФГБОУ ВО «Российский университет медицины» МЗ РФ, врач – дерматолог, медицинский советник компании «Эстет медицина», г. Москва.